
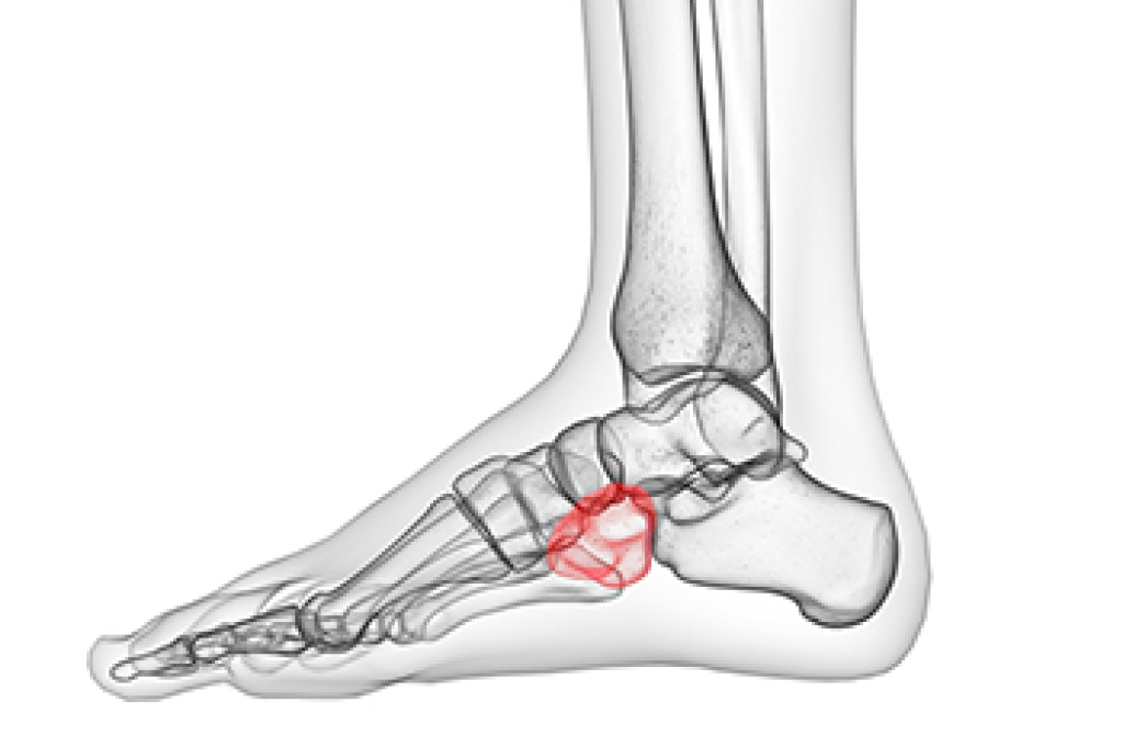
Cuboid syndrome occurs when the cuboid bone in the foot becomes partially dislocated or misaligned, leading to pain and discomfort. This bone is located on the outer side of the foot, and misalignment can result from repetitive stress, ankle sprains, or sudden twisting motions. Common symptoms include pain on the outside of the foot, difficulty walking, and a feeling of instability when standing. The pain may worsen with physical activity or pressure exerted on the foot. Diagnosing cuboid syndrome often involves a physical examination by a podiatrist, who may manipulate the foot to check for tenderness or abnormal movement of the cuboid bone. X-rays or other imaging tests may also be used to rule out other conditions and confirm the diagnosis. If you have pain on the outside of your foot, it is suggested that you consult a podiatrist who can determine the cause and provide treatment.
Cuboid syndrome, also known as cuboid subluxation, occurs when the joints and ligaments near the cuboid bone in the foot become torn. If you have cuboid syndrome, consult with one of our podiatrists from New Jersey. our doctors will assess your condition and provide you with quality foot and ankle treatment.
Cuboid syndrome is a common cause of lateral foot pain, which is pain on the outside of the foot. The condition may happen suddenly due to an ankle sprain, or it may develop slowly overtime from repetitive tension through the bone and surrounding structures.
Causes
The most common causes of cuboid syndrome include:
- Injury – The most common cause of this ailment is an ankle sprain.
- Repetitive Strain – Tension placed through the peroneus longus muscle from repetitive activities such as jumping and running may cause excessive traction on the bone causing it to sublux.
- Altered Foot Biomechanics – Most people suffering from cuboid subluxation have flat feet.
Symptoms
A common symptom of cuboid syndrome is pain along the outside of the foot which can be felt in the ankle and toes. This pain may create walking difficulties and may cause those with the condition to walk with a limp.
Diagnosis
Diagnosis of cuboid syndrome is often difficult, and it is often misdiagnosed. X-rays, MRIs and CT scans often fail to properly show the cuboid subluxation. Although there isn’t a specific test used to diagnose cuboid syndrome, your podiatrist will usually check if pain is felt while pressing firmly on the cuboid bone of your foot.
Treatment
Just as the range of causes varies widely, so do treatments. Some more common treatments are ice therapy, rest, exercise, taping, and orthotics.
If you have any questions, please feel free to contact our office located in Neptune City, NJ . We offer the newest diagnostic and treatment technologies for all your foot care needs.



